Casos clínicos
¿Quieres ser uno más?
Casos clínicos
¿Quieres ser uno más?
Nuestros casos de exito
Casos pre y post tratamiento
Presentamos una serie de casos clínicos, mostrando el antes y el después.
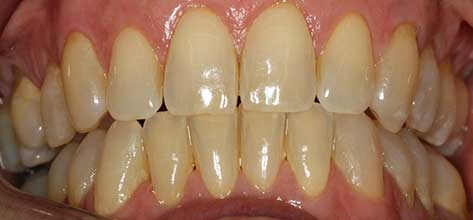
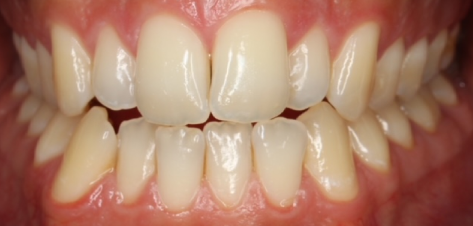
Blanqueamiento
Dra. Carmen Feito Bárcena

Blanqueamiento
Dra. Carmen Feito Bárcena

Blanqueamiento
Dra. Carmen Feito Bárcena

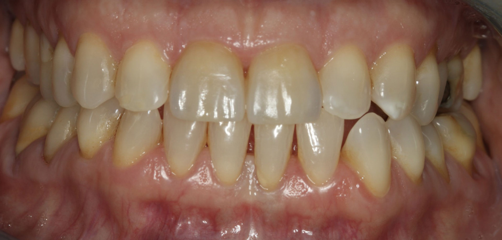
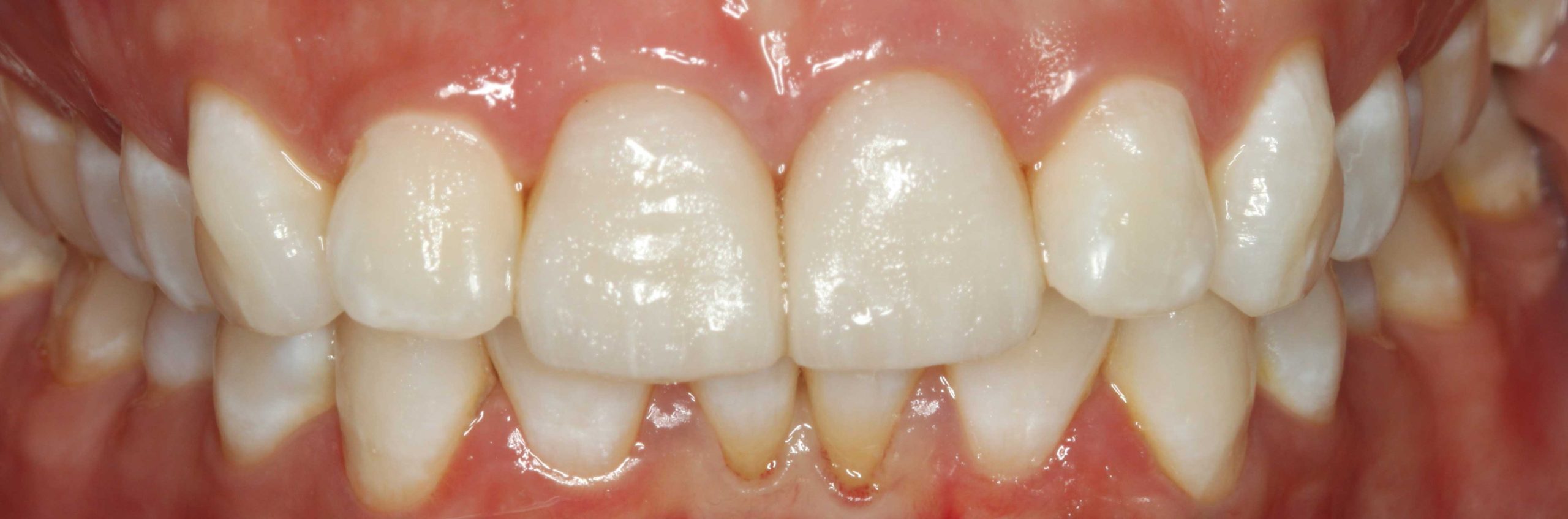
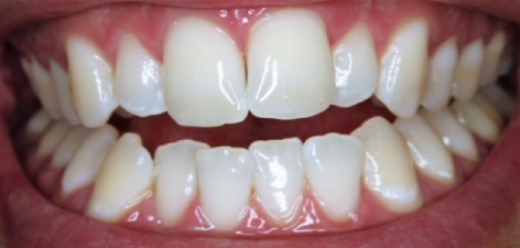
El paciente vino con una sonrisa con coloración más apagada y manchas. Tras el tratamiento con un blanqueamiento dental, se muestra una clara mejoría en luminosidad, con un aspecto homogéneo.
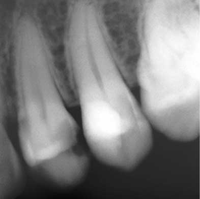
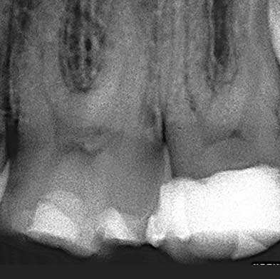
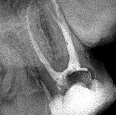
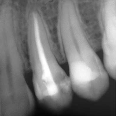
Endodoncia
Dra. Carmen Feito Bárcena

Endodoncia
Dra. Carmen Feito Bárcena

Endodoncia
Dra. Carmen Feito Bárcena

Dra. Carmen Feito Bárcena

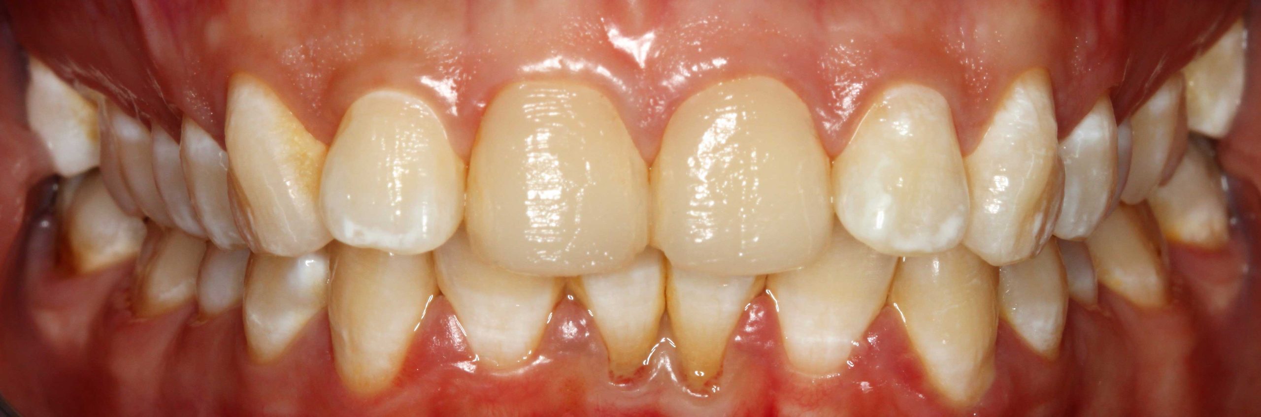
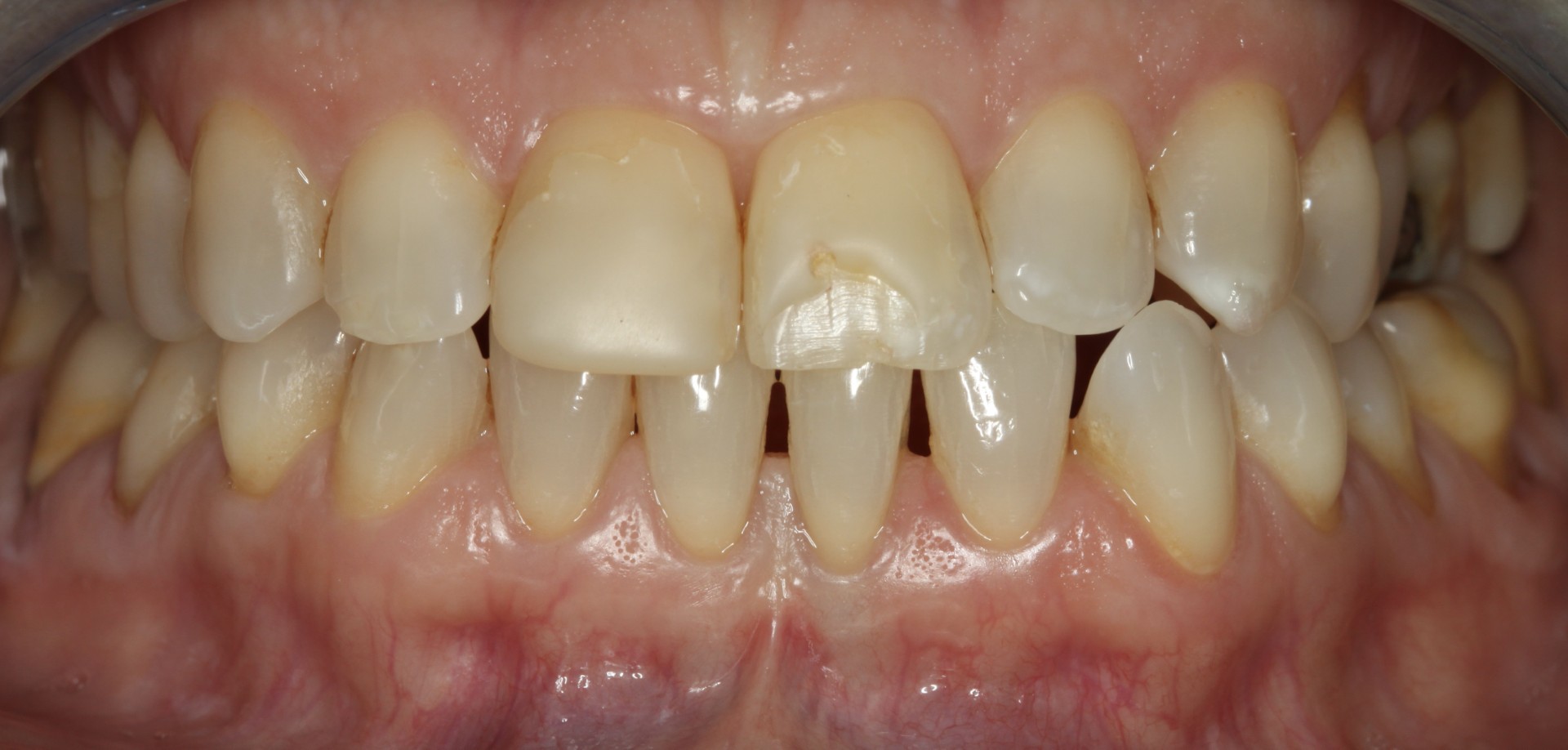
En este caso se combinan dos tratamientos el blanqueamiento y la carilla. La paciente tratada con blanqueamiento y carilla de composite a nivel de un incisivo central para mejorar el color y cerrar el diastema existente
Dra. Carmen Feito Bárcena

En la primera fotografía se observan coronas envejecidas, diferencias de color y desgaste generalizado. En el después se aprecia una restauración mucho más armónica, con coronas renovadas que mejoran la estética, la uniformidad y la función de la sonrisa.
Dra. Carmen Feito Bárcena

En la fotografía inicial se aprecian piezas deterioradas y con alteraciones estéticas, mientras que en la imagen final se observa una sonrisa renovada, con coronas que devuelven uniformidad, función y un aspecto natural.
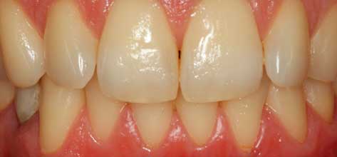
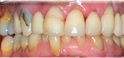
Blanqueamiento y carillas
Dra. Carmen Feito Bárcena

Dra. Carmen Feito Bárcena






